Surgery News – nr. 2 2025
”Versah har de siste årene blitt et viktig verktøy i min daglige praksis. Systemet skiller seg fra tradisjonelle osteotomiteknikker ved at borene ikke fjerner ben, men i stedet osseodensifiserer og komprimerer det. Dette gir en helt ny dimensjon av presisjon og forutsigbarhet i implantatkirurgien."
Et godt eksempel er immediate implantat med molar septum expansion protocol kombinert med SSA-konseptet. Her har jeg sett tydelige fordeler:
- Bedre primærstabilitet, selv i kompromittert ben.
- Maksimal bevaring av autologt ben, noe som gir en bedre biologisk plattform.
- Minimalt invasivt inngrep, som gjør at jeg i mange tilfeller kan redusere omfattende inngrep som tidligere krevde lateral sinuslift.
For pasientene betyr dette mindre ubehag intraoperativt og et markant lettere postoperativt forløp, med betydelig mindre smerte, hevelse og hematomdannelse.
Kliniske fordeler:
- Økt forutsigbarhet og kontroll
- Redusert behov for invasive inngrep
- Bedre pasientopplevelse og raskere rekonvalesens
- Utvider behandlingsmulighetene i komplekse kasus
Konklusjon
For meg har Versah vært en game-changer i implantatbehandling. Systemet kombinerer teknisk presisjon med bedre pasientkomfort, og gjør det mulig å løfte kvaliteten på behandlingen til et nytt nivå. Etter mange års erfaring som spesialist ser jeg at dette er et verktøy som gir høyere klinisk kontroll, mer skånsom behandling og økt pasienttilfredshet.
"Jeg anbefaler Versah varmt til kolleger som ønsker å videreutvikle sin implantatpraksis og tilby pasientene den mest moderne, forutsigbare og skånsomme behandlingen vi har tilgjengelig i dag."
PASIENTFALL
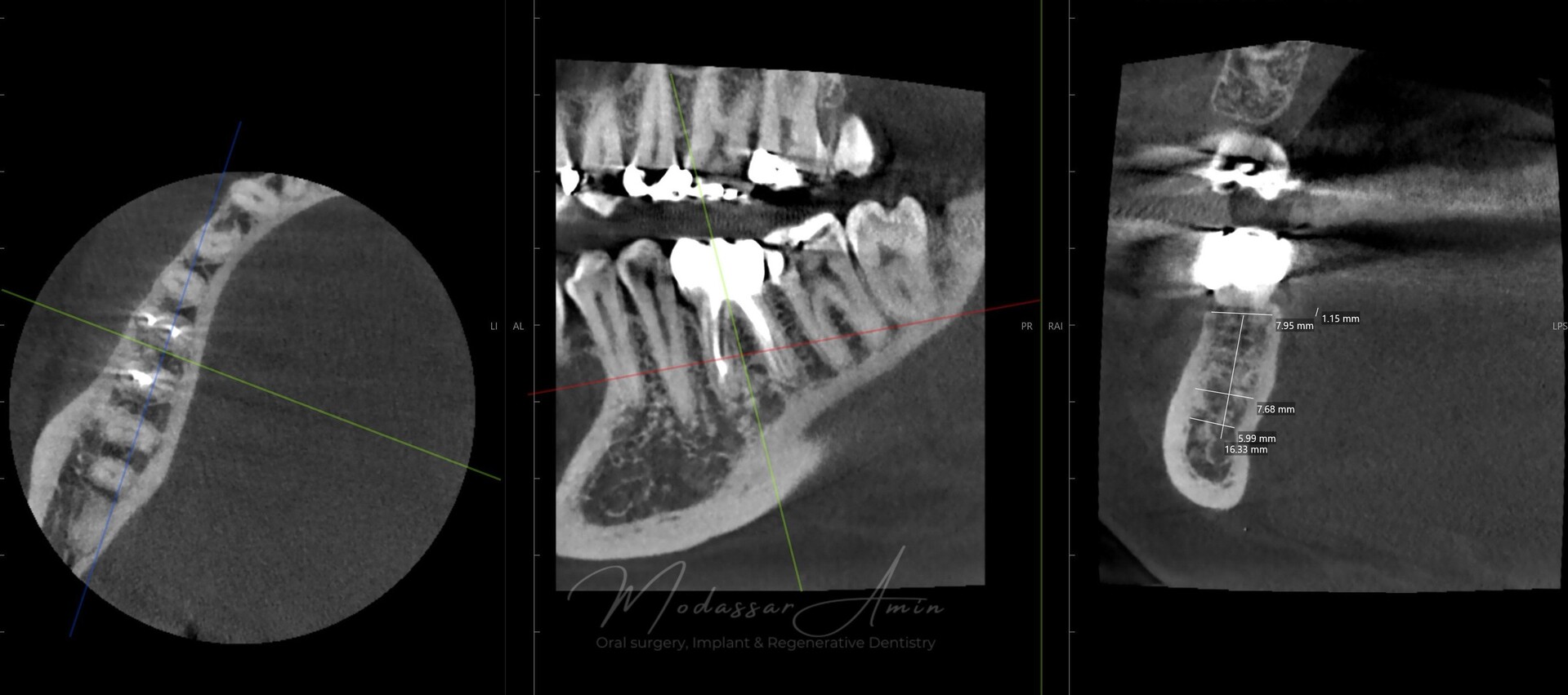
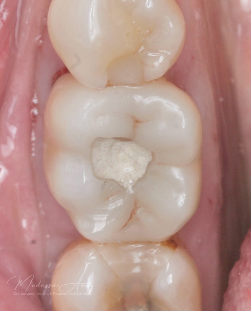
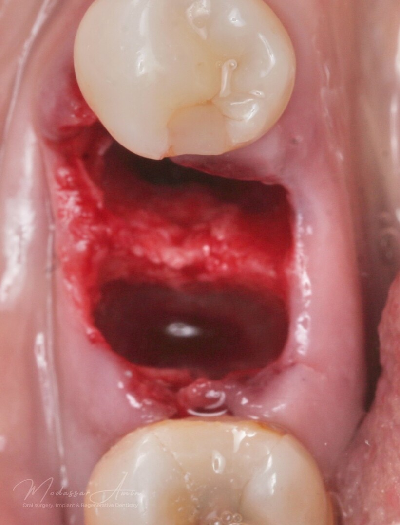
Pasienten presenterte med tann 46 som ikke kunne bevares grunnet en dyptgående infraksjon inn i furkasjonen. Forholdene lå til rette for en immediate implantatbehandling. Ved hjelp av Versah osseodensifikasjonsbor ble det interradikulære beinet ekspandert på en skånsom og forutsigbar måte, noe som ga høy primærstabilitet (>40 Ncm) til tross for en lokal bendefekt apikalt mesialt etter kronisk apikal periodontitt. Den gode stabiliteten muliggjorde bruk av SSA (Sealing Socket Abutment) for forsegling. På grunn av tynn bløtvevsfenotype bukkalt ble behandlingen supplert med bindevevstransplantat (CTG):

Initial

Kontroll røntgen for verifikasjon

Kontroll røntgen implantat

Kontroll røntgen SSA

CBCT røntgen

Initial

Minimal invasiv ekstraksjon

Starten på ekspansjon

Versah bor 2.3

Septum ekspandert

God primær stabilitet på 40+ ncm

SSA (Sealing Socket Abutment) + CTG (bindevevsgraft)
Mine erfaringer med Yxoss CBR – Custom Bone Regeneration.
Beinregenerering kan være klinisk utfordrende og stiller store krav til materialet som brukes. I de senere årene har jeg innlemmet den pasientspesifikke membranen Yxoss. Den har forenklet operasjonene jeg utfører på flere måter. Ikke minst reduserer den operasjonstiden sammenlignet med tradisjonell membranteknologi. Gjennom planleggingsverktøyet Yxoss kan man enkelt få ønsket form på en individuell 3D-printet titanmembran. Yxoss-membranen fylles med partikkelformet bein og fikseres med passende fikseringsskruer. Siden membranens form planlegges allerede før operasjonen, kan bløtvevet tilpasses passivitet allerede før bein tas fra ramus.
Nedenfor har jeg oppsummert de største fordelene jeg ser med produktet:
- Enkel og bedre preoperativ planlegging.
- Protetiske og kirurgiske aspekter kan planlegges på forhånd.
- Redusert traume gjennom kortere operasjonstid.
- Enkel fiksering av membranen.
- Stabil membran med små perforeringer som bidrar til redusert pseudoperiosteum.
Oppsummert:
Yxoss 3D-printede membraner forenkler beintransplantasjon gjennom flere aspekter. Sluttresultatet blir mer forutsigbart gjennom muligheter for god preoperativ planlegging og mer standardisert utførelse.
PASIENTCASE
Yngre kvinne som mistet tenner 11-22 gjennom traume. Både en horisontal og vertikal defekt i et estetisk utfordrende område. En Yxoss 3D-printet membran produseres gjennom planleggingsverktøyet, i dette tilfellet IO-skanning og CBCT som grunnlag. En preprotetisk voksing på den tiltenkte suprakonstruksjonen produseres for å forutsi fremtidig protese og tiltenkt beinvolum. Partikulært bein påføres membranen som deretter fikseres på plass. Etter 6 måneders helbredelse fjernes membranen. Regenerert bein uten pseudoperiosteum er påvist, implantater kan plasseres med gode marginer og god protesetilstand.

Beindefekt som følge av traume

Planlegging av Yxoss membran

Yxoss membran fylt med partikkelformet autologt bein og Geistlich Bio-Oss.

Bendefekt klinisk

Fast Yxoss membran

Fjerning av ti-membranen avslører vitalt bein uten pseudo-periosteum
Geistlich Bio-Oss Granulat – et pålitelig materiale, for et forutsigbart resultat.
Bio-Oss-granulat fra Geistlich er et velprøvd og forutsigbart benerstatningsmateriale som jeg har brukt i klinisk praksis i mange år. Min eneste innvending har tidligere vært brukervennligheten – granulatene kunne imidlertid oppfattes som «kornete» og noen ganger vanskelige å håndtere under påføring.
Men etter at jeg begynte å bruke Bio-Oss-kollagen (90 % Bio-Oss-granulat og 10 % grisekollagen), ser jeg hvor brukervennlig det er for både nybegynnere og mer erfarne kirurger.
Bio-Oss-kollagen kommer i en blokk, i stedet for granulat, og på grunn av den høye fuktbarheten blir det raskt en homogen og lettbearbeidelig masse. Denne «klebrige» massen legger seg lett i rommet du ønsker å forstørre uten at granulatene sprer seg rundt sårområdet. Den enkle påføringen er tidsbesparende, samtidig som materialet fortsatt har samme pålitelighet som tradisjonelle Bio-Oss-granulat.
Jeg bruker hovedsakelig Bio-Oss Collagen til mindre beinforstørrelser i forbindelse med implantatinstallasjon og til bevaring av alveoleryggen, der blokken etter hydrering med saltvann eller blod enkelt kan trimmes til alveolens form.
Bio-Oss Collagen er også egnet for større beinrekonstruksjoner. En annen fordel med Bio-Oss er at beingranulene har hydrofile egenskaper, ettersom materialet ikke sintres og dermed bevarer mikro- og makroporene.
Jeg kan derfor på det sterkeste anbefale Bio-Oss Collagen til mine kolleger som ønsker å jobbe med et produkt som er pålitelig, vitenskapelig bevist og har en brukervennlighet som forenkler behandlingen for både behandler og pasient!
PASIENTCASE
52 år gammel, tidligere frisk, kvinne. Tann 23 ble trukket 4 måneder tidligere på grunn av apikal periodontitt. Ingen komplikasjoner etter ekstraksjon:

1. Marginal beindefekt under heling før implantatinstallasjon, region 23.

2. Fiksturen er installert med god primærstabilitet, men med et gjengegap på de øvre 3 mm.

3. Bio-Oss Collagen 50 mg fuktes med noen dråper sterilt saltvann som påføres området, og Bio-Gide 13x25 membran klargjøres med en liten åpning for helingsavstand og plasseres over fiksturen.

4. Materialet bearbeides enkelt, uten å pakkes for tett, for å dekke de eksponerte gjengene på armaturen med noe overdimensjonering for å ta hensyn til forventet resorpsjon.

5. Bio-Gide membranen plasseres for å beskytte beinstrukturen mot bløtvevsceller, samtidig som den sikrer god blodtilførsel fra periosteum.

6. Når membranen har nådd optimal posisjon, sys klaffen tilbake og tilstrekkelig hemostase oppnås.